Patient Care Studies

Radiological and clinical images from select cases managed by Dr. Graff.
All required consents have been obtained for the use of these case images.

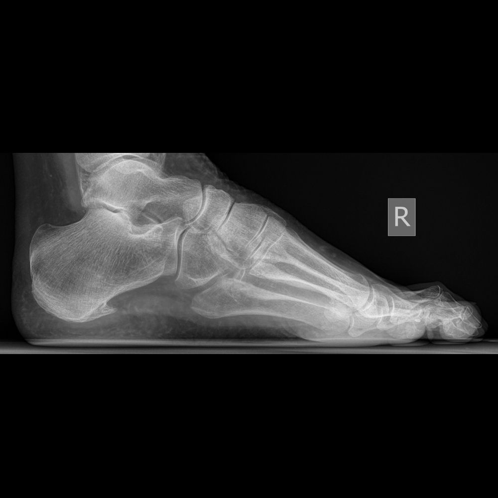
Flat Foot in a 16 year old girl with Cerebral Palsy

Asymmetric Knock Knee Due to Kidney Problems Through Childhood in 13 Year Old Girl

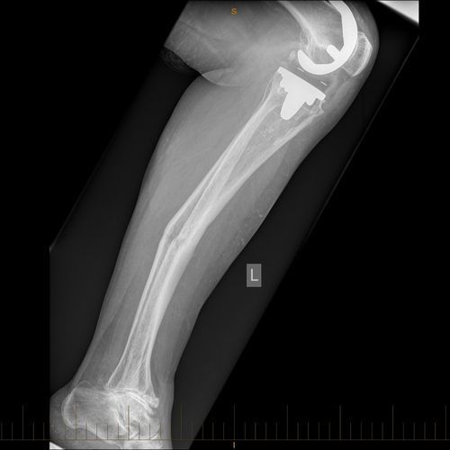
Adult with Correction of the Lower Limb Deformity due to Rickets

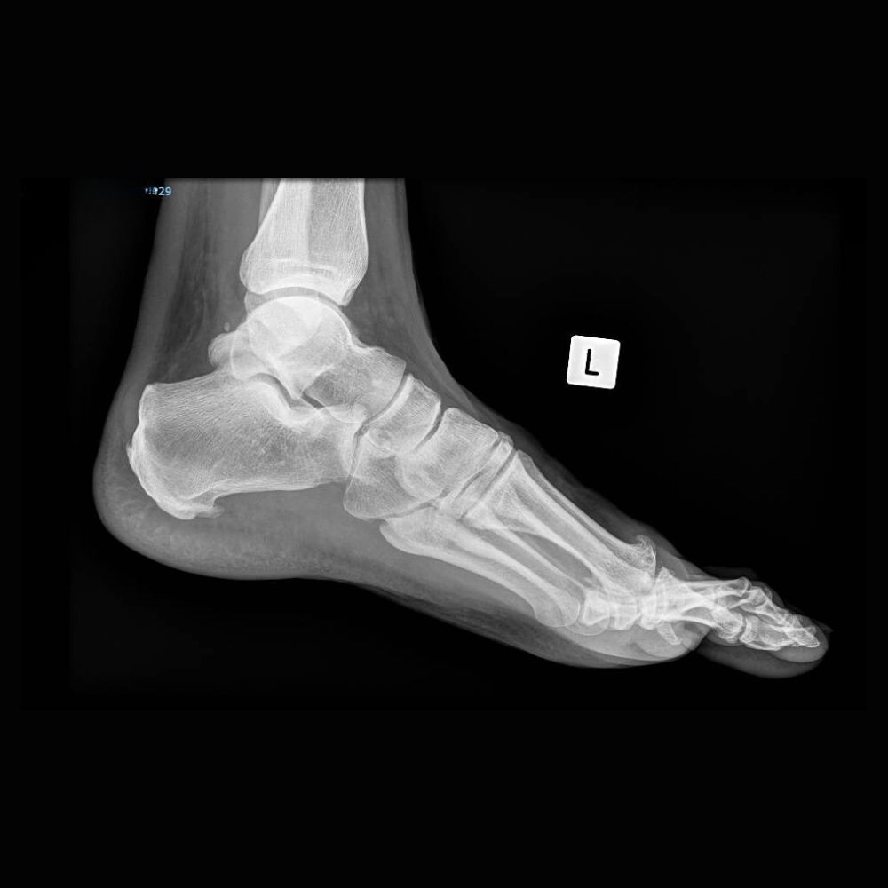
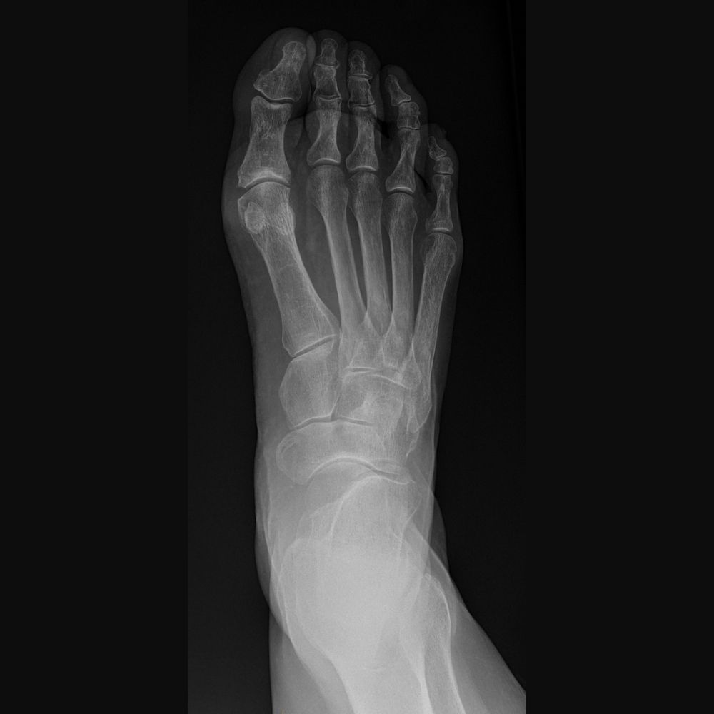
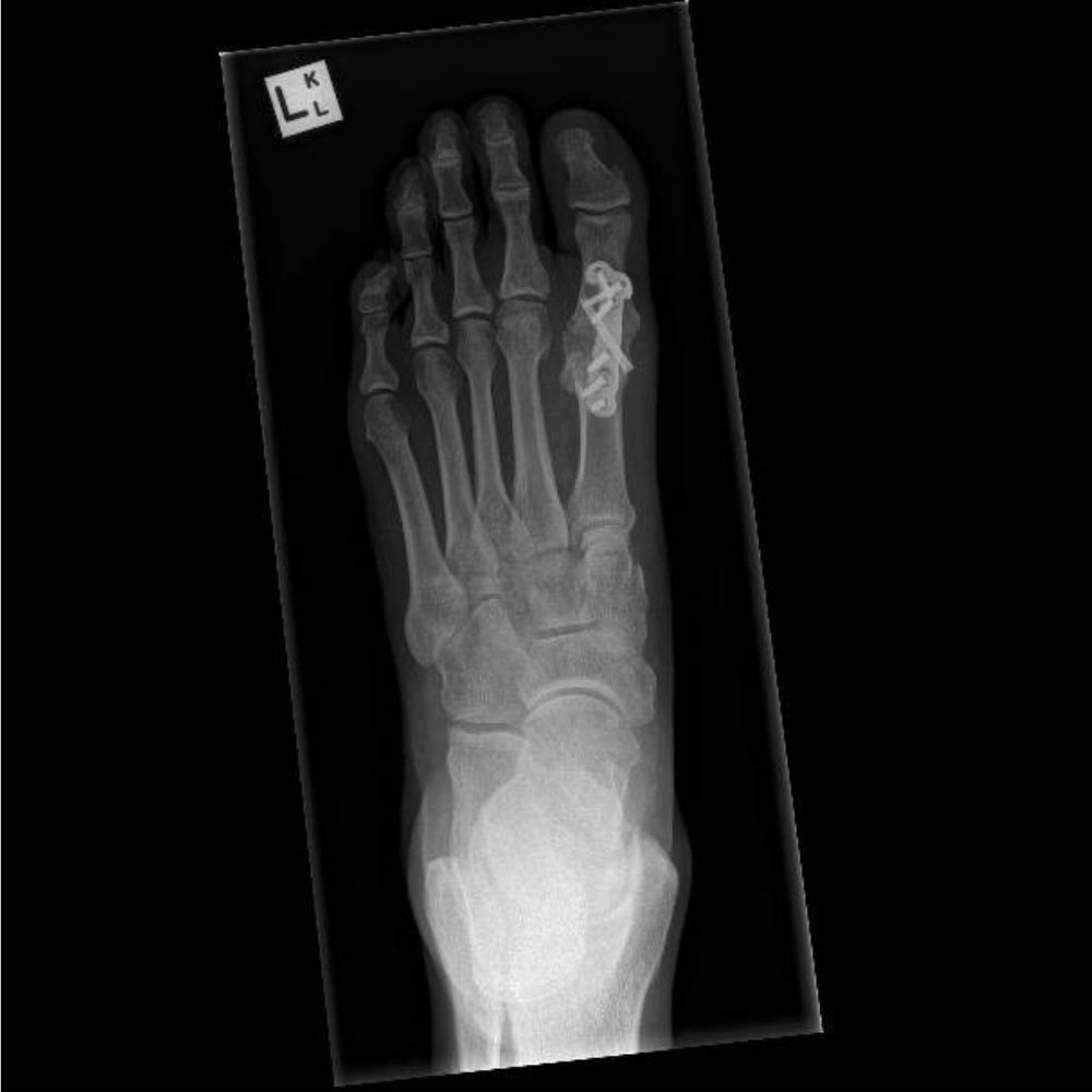
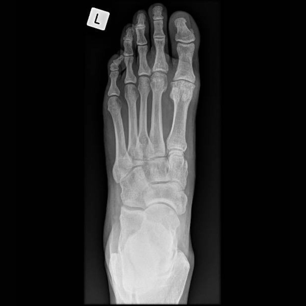
Adult Patient with Minimally Invasive Bunion Correction and Hammer Toe Correction for Metatarsalgia

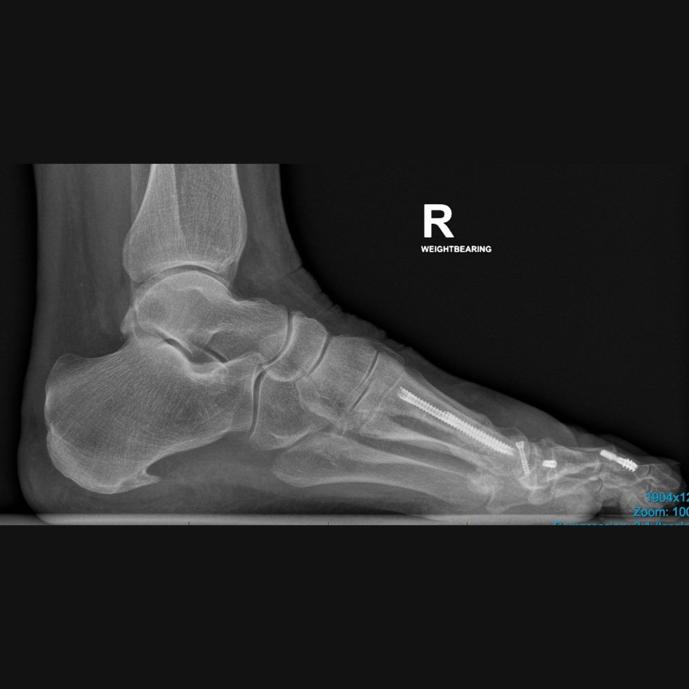
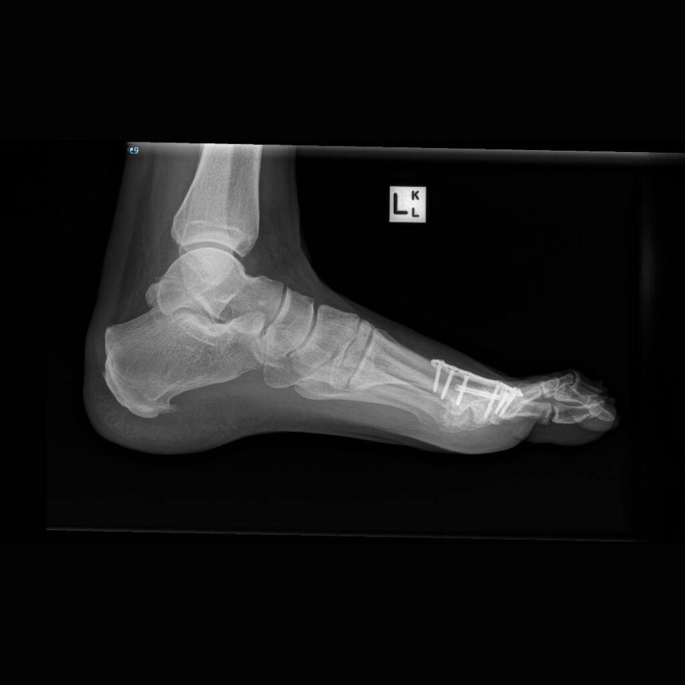
Adult with Fusion (Arthrodesis) of the Left Hallux Rigidus (Osteoarthritis of the Big Toe)

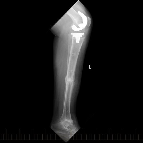
Adult with Circular Frame Correction of the Post-Traumatic Deformity of the Tibia

Hereditary Multiple Exostosis in 14 Year Old Boy

Knock Knee in Hereditary Spastic Paraparesis in 12 Year Old Girl

Unknown Cause of Bowed Leg in 5 Year Old Boy

Blount's Disease in 17 Year Old Girl

Fibula Hemimelia in 7 Year Old Boy